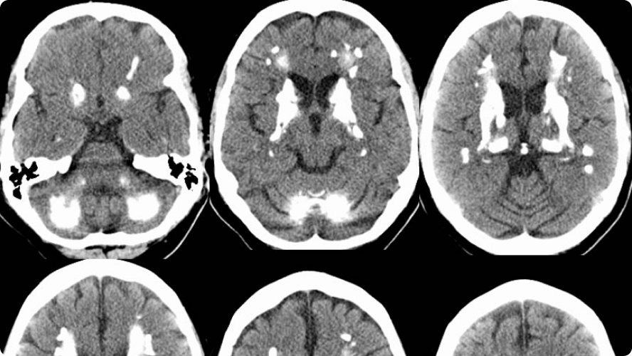
Fahr’s disease, also known as bilateral striatopallidodentatecalcinosis, is characterized by abnormal vascular calcium deposition, particularly in the basal ganglia, cerebellar dentate nucleiand white matterwith subsequent atrophy.
Continue readingCase 5- TUBEROUS SCLEROSIS
Multiple tiny T1 and T2 isointense nodular lesions are seen along ependymal lining of both lateral ventricles predominantly in the body region probably representing sub ependymal hemartomas.
Continue reading


