CASE 1- Coronary anomaly- LCX FROM RCA
Diagnosis
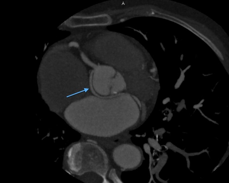
Anomalous origin of the Left Circumflex artery from Right Coronary artery identified by imaging with Multidetector Computed Tomography
Findings
On MDCT angiography, left coronary artery was seen to arise from the left sinus of valsalva which further coursed along the anterior interventricular groove as LAD. RCA was seen to be arising from anterior aortic sinus with its normal course along right atrio-ventricular (AV) groove. There was a vessel seen arising form its proximal segment which took a retro-aortic course towards the left AV groove. It was labelled as LCX as it followed the normal course of the LCX along left AV groove.
Discussions
Anomalous origins of the coronary artery are rare, but they are of paramount importance for their catastrophic sequelae like myocardial ischemia or even sudden death. MDCT has made it so easy for the detection of such anomalies due to its spatial resolution and 3D image reconstructionThough this anomaly is non-contributory to myocardial ischemia, it seems to be important to identify it as otherwise it would have been misdiagnosed as complete occlusion of LCX which was not the case.
Share



