CASE 2- AIDS RELATED LYMPHOMA-CT OVERVIEW
Diagnosis
AIDS RELATED LYMPHOMA- CT OVERVIEW
Findings
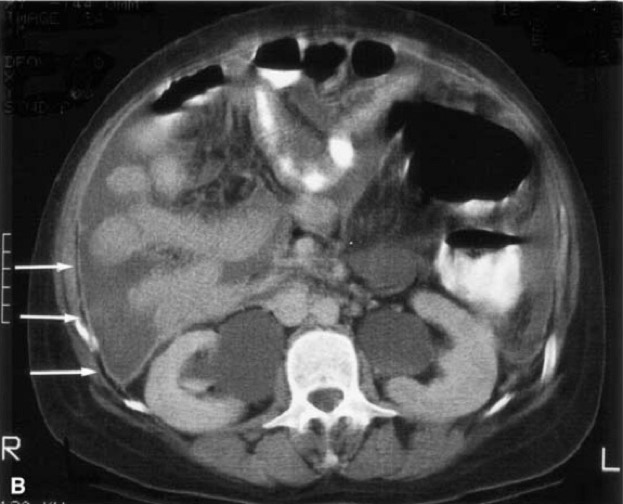
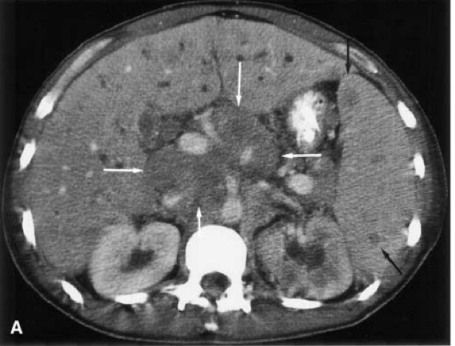
1. Lymph Nodes
- Bulky large, soft tissue attenuation with uncommon necrosis
- Size >3cm – to differentiate from mycobacteria
- Encasement of vessels
2. GIT
- Bulky, fungating masses
- Focal/circumferential wall thickening
- With/without excavated masses
- Associated with extensive lymphadenopathy
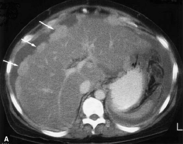
3. Solid Organs – Liver, Spleen, Kidneys
- Focal hypoattenuating masses
- Increase in size
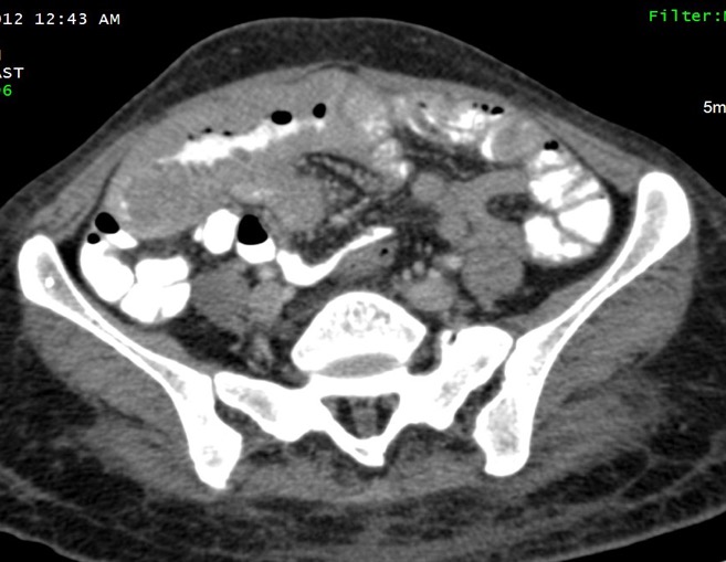
4. Peritoneum/Omentum
- Thickening
- Nodularity
- Ascites
Discussions
NON HODGKIN>>> HODGKIN •ATYPICAL, MORE AGGRESSIVE, POOR PROGNOSIS •EXTRANODAL DISEASE MORE COMMON THAN SEEN IN NORMAL INDIVIDUALS •NOT RELATED TO CD4 COUNT BUT SEEN IN MID /LATE PHASE
Share





