Skip to content

Case 3- Congenital Azygos Lobe

Diagnosis

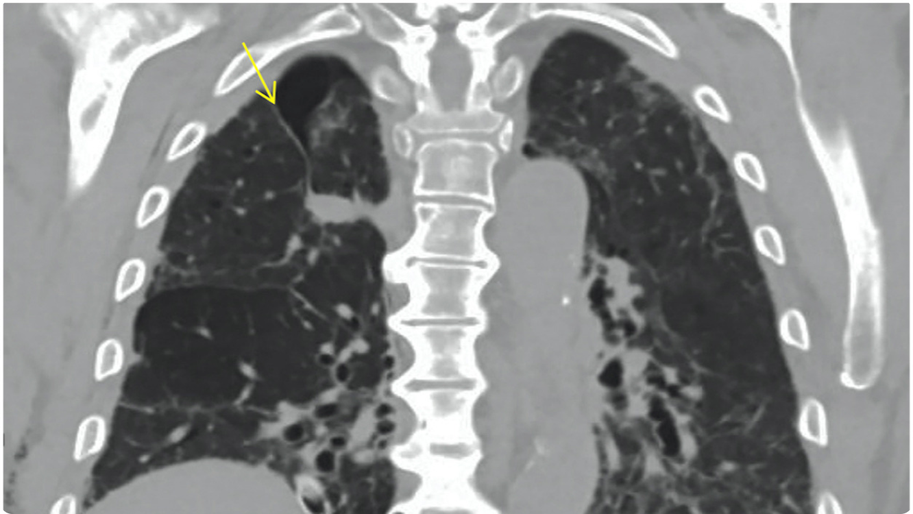
Congenital Azygos Lobe-

Findings

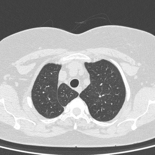
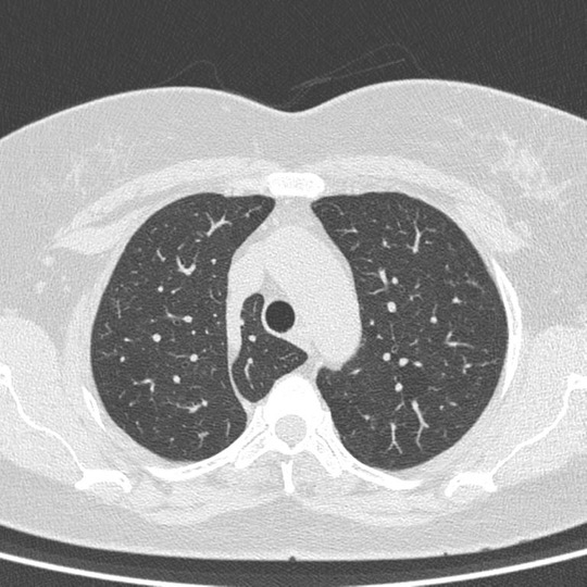
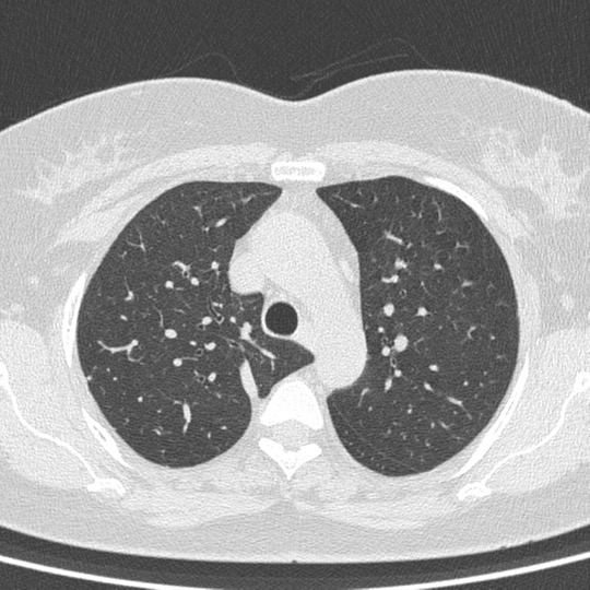
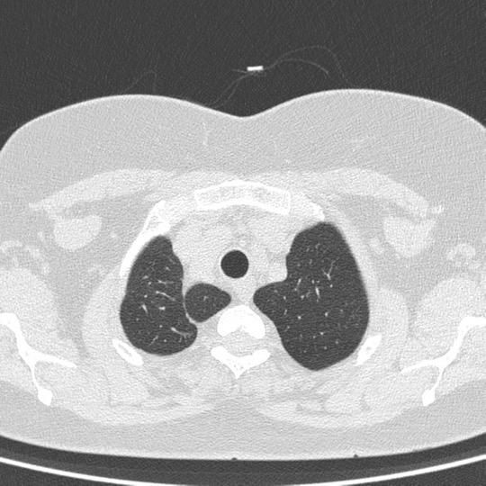
An Azygos lobe fissure is seen on right side. It extends from the lateral aspect of the vertebral body posteriorly, to the right brachiocephalicvein and SVC anteriorly.

Discussions

  • An azygos lobe is a rare normal anatomic variant of the right upper lobe, first described by Heinrich Wrisberg in 1778 due to invagination of the azygos vein and pleura during fetal development.
  • An azygos lobe is created when a laterally displaced azygos vein creates a deep pleural fissure into the apical segment of the right upper lobe during embryological development.
  • It is not a true accessory lobe as it does not have its own bronchus.
  • It is important to have a good understanding of this entity, as it can mimic pathological conditions such as bullae, abscesses, or lung masses.
  • Awareness of an azygos lobe is also important when preparing for surgical procedures.
Share