Case 4- Pancreatic pseudocyst with Pseudoaneurysm
Diagnosis
Pancreatic pseudocyst with Pseudoaneurysm-
Findings
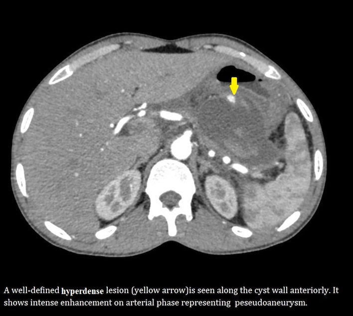
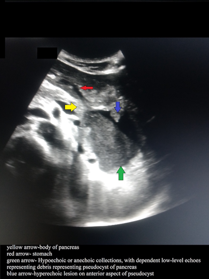
A well-defined oval cyst isseen abutting the pancreatic body and tail, suggestive of a pancreatic pseudocyst. The pancreatic duct is minimally prominent. Thecyst is seen anteriorly abutting the stomach wall with resultant diffuse oedematousthickening of the walls of the stomach.A few ill-defined hyperdensitiesare seen within the cyst, suggestive of chronic hemorrhages/ sludge •Atiny nodular well-defined intensely enhancing lesion is seen along the cyst wall anteriorly on arterialphase representing peseudoaneurysm.
Discussions
- Pancreatic pseudocysts are common sequelae of acute or chronic pancreatitis and represent one of the most common cystic lesions of the pancreas.
- Pseudocysts appear as well-circumscribed, usually round or oval intra- or peripancreatic fluid collections that are usually surrounded by a well-defined wall. They may or may not have communication with the pancreatic duct.
- Complications associated with pancreatic pseudocysts include infection, rupture, and hemorrhage. They can erode into adjacent vessels—most commonly the splenic artery—and produce a pseudoaneurysm.
- These pseudoaneurysms can rupture and result in intraperitoneal and gastrointestinal bleeding.
- Pancreatic pseudoaneurysm is a rare complication with a severe prognosis; early detection and management is therefore mandatory.
- High-resolution MDCT or MR angiography can depict the pseudoaneurysm as a well-delineated rounded structure originating from the donor artery.
Share





