Skip to content

Case 7 – Ischemic Cardiomyopathy

Diagnosis

Ischemic cardiomyopathy involving LAD and partly LCX territory

Findings

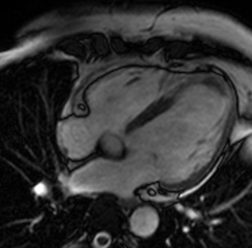
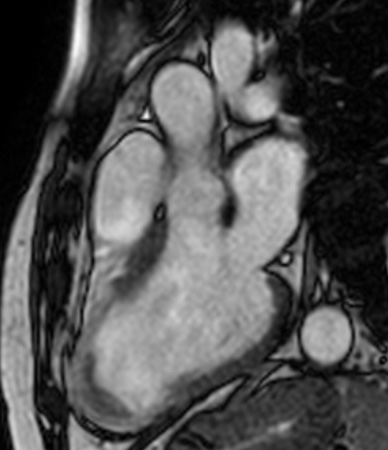
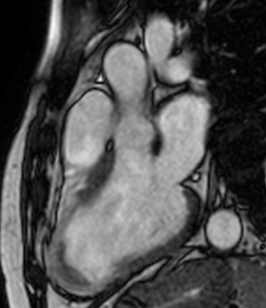
There is mild hypertrophy of the basal and mid-myocardial inter-ventricular septum (IVS). It measures 11 mm in mid segment (diastole) and 14 mm in systole. 

There is also mild thickening of the free wall of the left ventricle in basal and mid cavity regions.

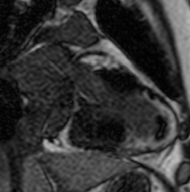
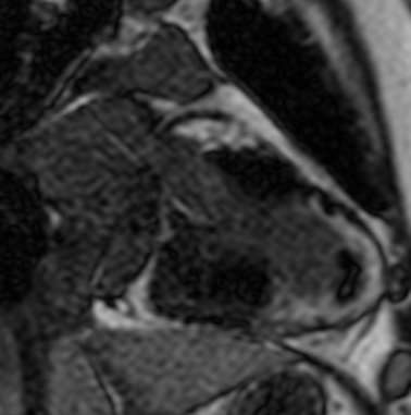
There is severe thinning of the apical myocardium.

There is focal T2 hypointense non enhancing soft issue seen in apical region of left ventricle most likely representing apical thrombus.

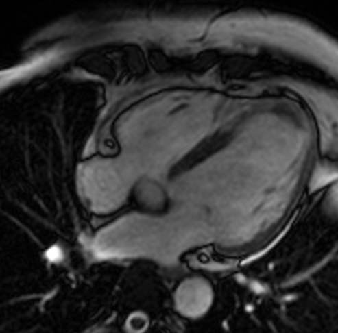
There is transmural enhancement seen in the apical, apical anterior, apical septal, apical inferior,  mid-ant septal, mid inf-septal segments ( segments17, 13,14,15,8,9). It probably represents scar tissue of non viable myocardium.

Discussions

Cardiac MRI helps in prognostication and guiding therapy in ischemic andd non ischemic cardiomyopathies.

In ischemic cardiomyopathies, regional wall motion abnormalities along with delayed contrast enhancement sugegsts non viable myocardium and thus helps in predicting if revascularization procedure will benefit or not to soem extent.

Enhancement pattern follows vascular territory of coronary arteries which can be subendocardial in early stages and then progress to transmural pattern.

Non ischemic cardiomyopathies show  delayed enhancement that do not follow vascular territory and can involve any portion of myocardium. MRI sequences are tailored according to specific disorders to be looked for or suspected.

Share