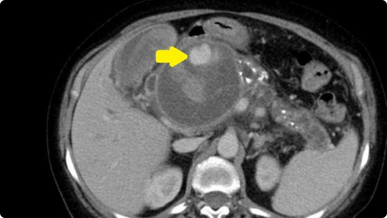
A well-defined oval cyst isseen abutting the pancreatic body and tail, suggestive of a pancreatic pseudocyst. The pancreatic duct is minimally prominent. Thecyst is seen anteriorly abutting the stomach wall with resultant diffuse oedematousthickening of the walls of the stomach.A few ill-defined hyperdensitiesare seen within the cyst, suggestive of chronic hemorrhages/ sludge
Continue readingCase 3- Congenital Azygos Lobe
An azygos lobe is a rare normal anatomic variant of the right upper lobe, first described by Heinrich Wrisbergin 1778 due to invaginationof the azygosvein and pleura during development in the fetus.
Continue readingCase 2- AIDS RELATED LYMPHOMA-CT OVERVIEW
NON HODGKIN>>> HODGKIN •ATYPICAL, MORE AGGRESSIVE, POOR PROGNOSIS •EXTRANODAL DISEASE MORE COMMON THAN SEEN IN NORMAL INDIVIDUALS •NOT RELATED TO CD4 COUNT BUT SEEN IN MID /LATE PHASE
Continue readingCase 1- Coronary anomaly- LCX FROM RCA
On MDCT angiography, left coronary artery was seen to arise from the left sinus of valsalva which further coursed along the anterior interventricular groove as LAD. RCA was seen to be arising from anterior aortic sinus with its normal course along right atrio-ventricular (AV) groove.
Continue reading




